Elbow Dysplasia in Dogs

Elbow dysplasia (ED) affects the elbow joint in dogs primarily as a result of several genetic developmental abnormalities. These abnormalities affect the growth of cartilage at the joint or the surrounding structures. The lack of cartilage results in high levels of wear and tear on the elbow joint, eventually leading to other problems such as osteoarthritis.1,2,3

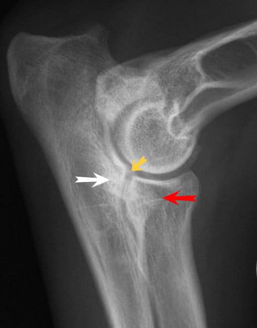
X-ray of canine elbow dysplasia, with arrows indicating defects in the joint.
ED is commonly found in certain large-breed dogs, such as Chow Chows, Rottweilers, Boerboels, Bulldogs, Bernese Mountain dogs, Labradors, Newfoundlands, and smaller dogs, such as Pugs and Black Russian Terriers.4
Elbow dysplasia most commonly occurs as a result of several genetic developmental abnormalities that affect cartilage and bone development in the elbow joint. These abnormalities can result in separation of cartilage from the bone, failed or delayed development of cartilage to bone, or lesions, which in turn contribute to cartilage damage.2,3
Symptoms of elbow dysplasia include abnormal gait (how a dog walks, such as straight or normal versus wobbly or erratic), lameness, stiffness, and limping, due to the pain in the elbows.2,4
Dogs often become lame between six and twelve months of age and are typically diagnosed through arthroscopic surgery, MRIs, or X-rays. ED can be hard to spot initially, as the lameness can be difficult to attribute to a particular joint.2,3,4
Dogs diagnosed with elbow dysplasia can be treated in a number of ways depending on the age of the dog and severity of the disease. Conservative treatment involves regular exercise and weight control. Drugs can also be used to alleviate inflammation and pain.
Harnesses or carts can also be used to reduce stress on joints. In more severe cases, surgery may be required to remove damaged cartilage, or, in some cases, total replacement of the elbow joint.2,4
Below are statistics of elbow dysplasia in dogs from the Orthopedic Foundation for Animals between January 1974 through December 2013.
Breed | Evaluations | Percent Dysplastic |
---|---|---|
Chow Chow | 953 | 48.4 |
Pug | 138 | 44.2 |
Rottweiler | 15804 | 39.1 |
Boerboel | 108 | 38.9 |
Bulldog | 159 | 32.7 |
Black Russian Terrier | 483 | 28.2 |
Bernese Mountain Dog | 13204 | 27.8 |
Chinese Shar-Pei | 572 | 24.0 |
Newfoundland | 6676 | 23.2 |
Fila Brasileiro | 182 | 23.1 |
Dogue De Bordeaux | 321 | 21.2 |
Sussex Spaniel | 102 | 19.6 |
American Bulldog | 411 | 19.2 |
German Shepherd Dog | 36523 | 18.9 |
Irish Water Spaniel | 506 | 17.2 |
American Staffordshire Terrier | 729 | 16.9 |
Staffordshire Bull Terrier | 225 | 16.9 |
American Pit Bull Terrier | 262 | 15.6 |
English Setter | 2862 | 15.4 |
Tibetan Mastiff | 500 | 14.6 |
St. Bernard | 253 | 14.6 |
Bloodhound | 1165 | 14.5 |
Mastiff | 6124 | 14.4 |
Bullmastiff | 2401 | 14.2 |
Cane Corso | 323 | 13.6 |
English Springer Spaniel | 2375 | 13.2 |
Irish Wolfhound | 702 | 13.1 |
Gordon Setter | 864 | 12.8 |
Australian Cattle Dog | 1133 | 11.1 |
Golden Retriever | 34054 | 11.0 |
Greater Swiss Mountain Dog | 2327 | 11.0 |
Labrador Retriever | 68823 | 10.5 |
Soft Coated Wheaten Terrier | 319 | 10.3 |
Airedale Terrier | 339 | 10.0 |
Belgian Malinois | 1642 | 9.7 |
Bouvier Des Flandres | 3195 | 8.9 |
Clumber Spaniel | 333 | 8.7 |
Giant Schnauzer | 515 | 8.3 |
Keeshond | 1021 | 8.2 |
Shiloh Shepherd | 477 | 8.0 |
Spinone Italiano | 531 | 7.2 |
Standard Schnauzer | 182 | 7.1 |
Afghan Hound | 215 | 7.0 |
Rhodesian Ridgeback | 5727 | 6.3 |
Kuvasz | 436 | 6.2 |
Anatolian Shepherd | 510 | 5.9 |
Havanese | 1817 | 5.8 |
Chesapeake Bay Retriever | 2407 | 5.5 |
Belgian Sheepdog | 1880 | 5.1 |
Belgian Tervuren | 3330 | 4.8 |
Beauceron | 148 | 4.7 |
Kerry Blue Terrier | 196 | 4.6 |
Puli | 151 | 4.6 |
Leonberger | 1524 | 4.4 |
Pointer | 239 | 4.2 |
Australian Shepherd | 7041 | 4.1 |
Shiba Inu | 418 | 3.8 |
Wirehaired Pointing Griffon | 312 | 3.8 |
Tibetan Terrier | 164 | 3.7 |
Great Dane | 2331 | 3.7 |
Border Terrier | 441 | 3.6 |
Cardigan Welsh Corgi | 348 | 3.4 |
Shetland Sheepdog | 762 | 3.4 |
Old English Sheepdog | 469 | 3.4 |
Petit Basset Griffon Vendeen | 213 | 3.3 |
French Bulldog | 370 | 3.2 |
Basenji | 375 | 3.2 |
Alaskan Malamute | 832 | 3.1 |
Irish Setter | 620 | 3.1 |
Pembroke Welsh Corgi | 744 | 3.1 |
Poodle | 2144 | 2.8 |
Boykin Spaniel | 186 | 2.7 |
German Wirehaired Pointer | 691 | 2.6 |
Dutch Shepherd | 163 | 2.5 |
Nova Scotia Duck Tolling Ret. | 695 | 2.4 |
Samoyed | 1374 | 2.3 |
Vizsla | 1864 | 2.3 |
Bearded Collie | 651 | 2.3 |
Hybrid | 877 | 2.2 |
Mini American/Mini Australian | 512 | 2.0 |
Welsh Springer Spaniel | 691 | 2.0 |
Labradoodle | 267 | 1.9 |
Brittany | 1137 | 1.9 |
Finnish Lapphund | 119 | 1.7 |
Weimaraner | 1522 | 1.6 |
Rat Terrier | 312 | 1.6 |
Norwich Terrier | 123 | 1.6 |
Coton De Tulear | 547 | 1.6 |
Collie | 430 | 1.6 |
Portuguese Water Dog | 2875 | 1.5 |
Great Pyrenees | 854 | 1.5 |
Canaan | 149 | 1.3 |
Akita | 2236 | 1.3 |
Border Collie | 2621 | 1.2 |
Cocker Spaniel | 421 | 1.0 |
Doberman Pinscher | 2267 | 0.9 |
German Shorthaired Pointer | 1945 | 0.9 |
Flat-Coated Retriever | 2350 | 0.8 |
Cavalier King Charles Spaniel | 573 | 0.7 |
American Eskimo Dog | 134 | 0.7 |
Boxer | 639 | 0.6 |
Dalmatian | 386 | 0.5 |
Bichon Frise | 634 | 0.5 |
Curly-Coated Retriever | 262 | 0.4 |
Field Spaniel | 266 | 0.4 |
Briard | 601 | 0.2 |
English Cocker Spaniel | 311 | 0.0 |
Finnish Spitz | 113 | 0.0 |
Siberian Husky | 279 | 0.0 |
Norwegian Elkhound | 154 | 0.0 |
Beagle | 128 | 0.0 |
- "Elbow Dysplasia Types". Orthopedic Foundation for Animals. http://www.offa.org/ed_types.html. Retrieved 2014-03-14.
- "If Your Dog's Gait is Changing, Check for Elbow Dysplasia". Mercola.com. http://healthypets.mercola.com/sites/healthypets/archive/2012/04/16/canine-elbow-dysplasia.aspx. Retrieved 2014-03-14.
- Pead MJ and Guthrie S. "Elbow dysplasia in dogs - a new scheme explained". http://www.bva.co.uk/public/documents/chs_elbow.pdf. Retrieved 2014-03-14.
- "Elbow Dysplasia in Dogs". WebMD.com. http://pets.webmd.com/dogs/elbow-dysplasia-dogs. Retrieved 2013-03-14.
- "Elbow Dysplasia Statistics". Orthopedic Foundation for Animals. http://www.offa.org/stats_ed.html. Retrieved 2014-03-14.